임시 비밀번호 : 1947
비밀번호 :
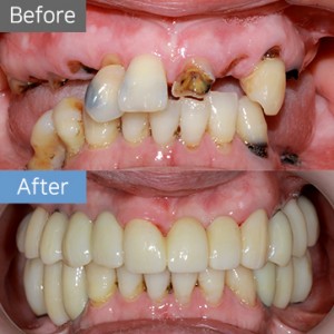
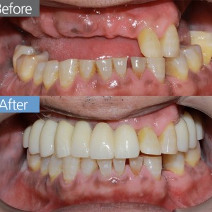
치료전후사진 7 페이지 | 대전청담수치과 - 둔산동치과, 대전치과, 대전교정치과, 대전임플란트
[구강악안면외과전문의] 믿고 맡기는 임플란트 & 의식하진정법
[치아교정 28개월 분납] 세브란스병원 치과교정과전문의
[밤 9시까지 OK!] 월·화·금 야간진료!
게시물 검색

쉽고 빠르게

상담해보세요