[구강악안면외과전문의] 믿고 맡기는 임플란트 & 의식하진정법
[치아교정 28개월 분납] 세브란스병원 치과교정과전문의
[밤 9시까지 OK!] 월·화·금 야간진료!

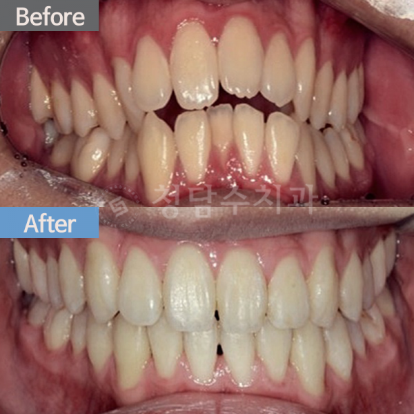
치아교정 비발치교정

페이지 정보

작성자 청담수치과 댓글 0건 조회 1,877회 작성일 22-10-20 17:16

본문

비발치교정

댓글목록

등록된 댓글이 없습니다.

쉽고 빠르게

상담해보세요